Трехсантиметровую иглу в мозге у 80-летней женщины выяила КТ.
Трехсантиметровую иглу в мозге у 80-летней женщины выяила КТ.
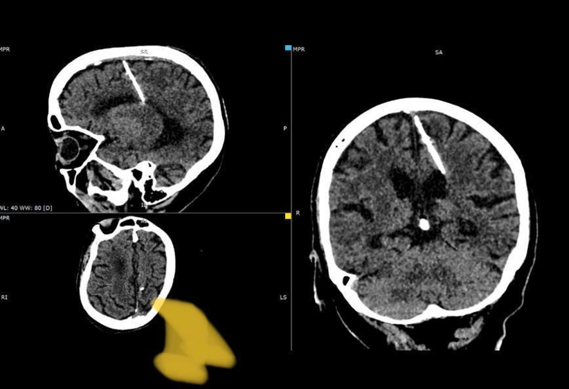
Трехсантиметровую иглу в голове 80-летней жительницы Сахалина обнаружили врачи, сообщил в Telegram-канале региональный Минздрав.
Как отмечается, живет женщина с инородным телом с рождения. Проникла игла в левую теменную долю, но девочка выжила. Более того, ее в дальнейшем никогда не мучили головные боли.
Иглу увидели на снимках компьютерной томографии, пояснили в ведомстве.
Здоровью женщины сейчас ничего не угрожает, за ней ведет наблюдение лечащий врач.
Было решено не делать операцию, поскольку это может только ухудшить состояние пациентки.
Фото пресс-служба министерства здравоохранения Сахалинской области
Автор: Редакция ТЕЛЕПОРТ.РФ
При использовании материалов активная индексируемая гиперссылка на сайт ТЕЛЕПОРТ.РФ обязательна.
